Ir al contenido

Dr. Pablo Fiorillo | Cirujano de columna

Contenido de la Nota

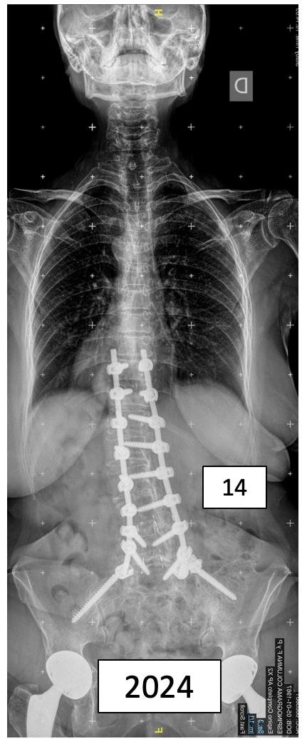
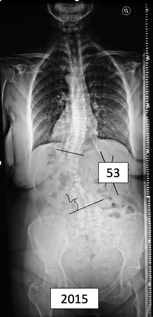
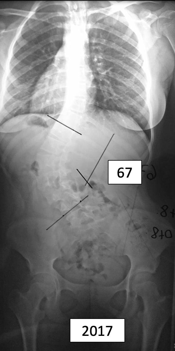
Marcela

DR. PABLO FIORILLO – Mat. 17034
Cirujano de Columna
Especialista en Escoliosis Pediatricos y Adultos

Facebook
Twitter
LinkedIn
WhatsApp