Ir al contenido

Dr. Pablo Fiorillo | Cirujano de columna

Contenido de la Nota

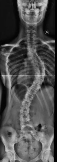
Morena

Paciente:

Morena

Inicio del tratamiento:

2018

Edad de la paciente:

10 años

Patología:

Escoliosis Idiopática del Adolescente.

Tratamiento: Uso de un corsé, y ejercicios indicados para prevenir la progresión de la curvatura. Al año: la escoliosis y el valor angular empeoraron significativamente En la primavera del 2020, plena pandemia, se llevó a cabo la corrección quirúrgica. Hoy, Morena ha logrado retomar sus actividades y actualmente juega al hockey. Su evolución refleja cómo, a pesar de las dificultades, se puede avanzar en el tratamiento de la escoliosis.

DR. PABLO FIORILLO – Mat. 17034
Cirujano de Columna
Especialista en Escoliosis Pediatricos y Adultos

Facebook
Twitter
LinkedIn
WhatsApp